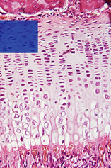
The blue rectangle in the upper figure indicates the region that is detailed in the lower figure.
Observe in the lower figure:
1 – Zone of resting cartilage.
This Zone is adjacent to the bone of the epiphysis.
The bone is the reddish band in the uppermost region of the figure that does not become highlighted when using the mouse or clicking on the image. It can be recognized by the presence of osteocytes placed in a red/pink extracellular matrix (ECM).
The resting cartilage, on the other hand, has the typical morphology of a hyaline cartilage – it is formed by chondrocytes (highlighted in red after using the mouse or clicking) surrounded by a bluish ECM (highlighted in a dark tone of blue).
2 – Zone of serial cartilage. The chondrocytes of this zone (highlighted in red) divide actively by mitosis and become organized in rows, like stacks of coins. The cartilaginous matrix is highlighted in light tone of blue.
How does longitudinal diaphysis growth occur?
Due to the proliferation of chondrocytes in the serial cartilage region, their daughter cells accumulate in the final (distal) portion of this region (opposite the resting cartilage region). The continuous accumulation of new chondrocytes “pushes” the remaining of the epiphyses away from the diaphysis, resulting in the longitudinal growth of the bone.

