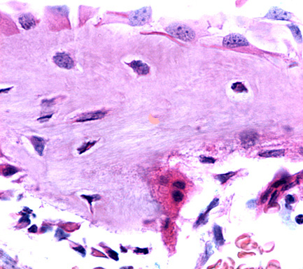
NON-LAMELLAR BONE AND LAMELLAR BONE – 3
Upper figure – Non-lamellar bone
Osteocytes highlighted in blue are irregularly distributed in the extracellular matrix. Osteoblasts highlighted in light brown. Osteoclast highlighted in red.
Lower figure – Lamellar bone
Osteocytes organized in parallel rows.
Non-lamellar bone. Staining: HE. Magnification: medium.

Lamellar bone. Staining: HE. Magnification: small.


