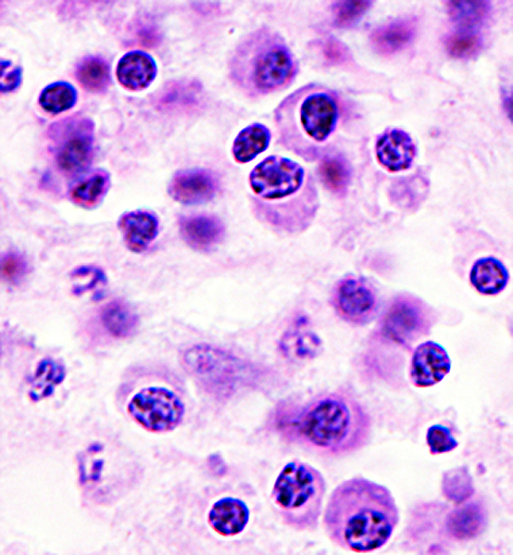
Plasma cells are derived from a type of lymphocyte that after recognizing some antigen received instructions to differentiate into plasma cells.
They are spherical or ovoid cells, whose cytoplasm is usually basophilic due to the presence of a large amount of ribossomes. They cells actively synthesize and secrete large amounts of proteins many of them—immunoglobulins of various classes, also generically called antibodies. In the image their cytoplasm becomes highlighted in light gray collor after you move or click the mouse.
Their nucleus is spherical and usually eccentric, that is, displaced from the center of the cell. The nucleus often contains large clumps of heterochromatin. These clumps are often seen at the periphery of the nucleus. The green arrow indicates one of these nuclei.
Another feature very frequently observed in plasma cells is a halo between the nucleus and the rest of the cytoplasm. This is the region of the Golgi apparatus, which is highly developed in these cells due to its important role in the protein secretion process, which is very intense in plasma cells. This halo is seen because the Golgi apparatus does not stain by the dyes commonly used to stain tisse sections for light microscopy.
Many plama cells are shown in the figures of this page.
Several of them show this halo next to the nucleus, which becomes highlighted in yellow after clicking or hovering over the image.
In the left figure the Golgi apparatus of some of plasma cells becomes highlighted in blue. In the same figure try to identify unlabeled plasma cells.
Plasma cells and lymphocytes can also be seen on page 12-14 and on the pages following this one.
Inflammatory infiltrate. Staining: HE. Magnification: medium.

